Panorama of Emergency Medicine

PoEM is an international peer-reviewed (double-blind) independent open access journal dedicated to advancing knowledge and practice in emergency medicine.

ISSN : 3006-0966

Skip to main navigation menu Skip to main content Skip to site footer

Case Report

Vol. 3 No. 1 (2025): Panorama Of Emergency Medicine

The Killer Wound; Early Diagnosis and Management of Necrotizing Fasciitis Utilizing Point-of-Care Ultrasound: A Case Repor

DOI:
https://doi.org/10.26738/poem.v3i1.43
Submitted
September 2, 2025
Published
February 11, 2025

Abstract

Background: Necrotizing fasciitis (NF) is a rapidly progressive and life-threatening infection of the fascia and subcutaneous tissues. Early diagnosis and prompt surgical intervention are critical to reducing morbidity and mortality. This case report highlights the importance of point-of-care ultrasound (PoCUS) in the rapid diagnosis of NF.

Case Presentation: A  34-year-old male carpenter presented to the Emergency Department of Casey Hospital, with a 48-hour history of increasing swelling and pain in his right arm and chest. Two weeks prior, he sustained an open wound to his right wrist from a rusty nail. Initial management by his family doctor focused on musculoskeletal injury without antibiotics. On ED presentation, the patient exhibited signs of systemic infection and gross swelling of the right upper limb and chest. PoCUS demonstrated characteristic findings of NF, including cobble stoning and subcutaneous air with dirty shadowing, leading to an expedited surgical consultation and immediate intervention.

Management and Outcome: The patient underwent multiple debridements, antibiotic therapy, and hyperbaric oxygen therapy. Post-surgical rehabilitation showed substantial gains in function and mobility.

Discussion: This case underscores the crucial role of PoCUS in the early diagnosis and management of NF. PoCUS allows for rapid bedside imaging, enabling timely surgical consultation and intervention, thereby improving patient outcomes. The multidisciplinary approach, involving emergency physicians, surgeons, and intensivists, is essential for optimal management of NF.

Conclusion: Early recognition and treatment, facilitated by PoCUS, are key to reducing the high morbidity and mortality.



Key Messages

* Early surgical intervention and antibiotic therapy are crucial in reducing morbidity and mortality in Necrotizing Fasciitis.

* Multidisciplinary coordination is required for patient stabilization and rapid transfer from the Emergency Department to the operating theatre, as surgical debridement is the definitive treatment.

* Utilization of Point-of-Care Ultrasound (PoCUS) is essential for the early diagnosis and management of Necrotizing Fasciitis and associated complications, significantly impacting patient outcomes.

Presentation

     In November 2022, a 34-year-old male carpenter presented to the Emergency Department (ED) of Casey Hospital, Monash Health, a 229-bed facility providing comprehensive health services, including ICU, to Melbourne’s outer-east communities. The patient reported increased swelling and pain in his right arm and chest over the past 48 hours. Two weeks prior, he sustained an open wound to the dorsum of his right wrist from a rusty nail at work. He did not seek medical treatment and only cleaned the wound with a Betadine wash. Three days before presenting to the ED, he visited his family doctor due to feeling unwell with right arm swelling and right-sided chest pain. He was managed as a musculoskeletal (MSK) injury with analgesia, including non-steroidal anti-inflammatory drugs (NSAID), and rest. The day before his ED presentation, he revisited his family doctor with worsening pain and lethargy. An X-ray and MSK ultrasound were planned, and the NSAID was discontinued. No antibiotics were considered at that time.

Initial ED Assessment and Management

     Upon ED presentation, he was tachycardic at 139/min, borderline tachypneic at 28 breaths per minute, apyrexial at 36.7°C, with an initial blood pressure of 115/78 mmHg. Examination revealed gross swelling of the right upper limb and chest, a 2 cm sloughy, partially healed open wound on the posterior aspect of the right forearm with surrounding erythema, and no purulent discharge (Figure 1). No palpable subcutaneous emphysema was noted. A C6 dermatomal sensation deficit was observed, likely secondary to inflammation and swelling. Capillary refill time (CRT) was greater than 5 seconds with a palpable radial pulse. The patient reported increasing pain, intermittent fevers, anorexia, and anuria for the past two days1. His social history revealed he was a non-smoker, social drinker, and did not use illicit drugs.

ED Investigations and Initial Management

     He was triaged as category 2 (ATS; to be seen within 10 minutes) and self-mobilized to a resuscitation cubicle after identification of his critical condition. Observations and monitoring were applied, and two large-bore 18G IV cannulas were inserted into his left arm. An ECG (Figure 2) showed sinus tachycardia. Pathology tests, including a venous blood gas, inflammatory markers, UECs, LFTs, coagulation screen, and troponin, were taken2.

     His VBG indicated respiratory acidosis (pH 7.09, pCO2 65) and profound hyperlactatemia of 10.5. It also noted a haemoglobin of 166, potentially being indicative of dehydration/sepsis. His electrolytes were noted to be mildly deranged (Na 133, K 5.1, Cl 97).

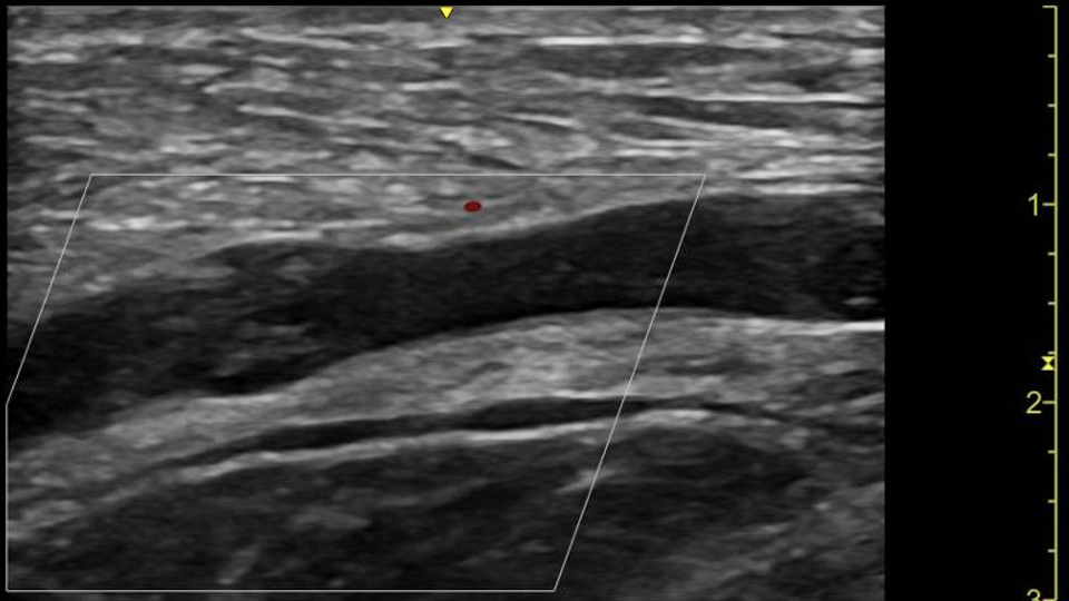
     With a provisional diagnosis of sepsis, resuscitation with crystalloid intravenous fluids (NaCl) was initiated. Point-of-Care Ultrasound (PoCUS) demonstrated cobblestoning and subcutaneous air with dirty shadowing of the entire upper limb and right-side chest wall3 (Figure 3), suspicious for Necrotizing Fasciitis, as well as a non-compressible proximal part of the axillary vein suspicious for concurrent thrombus (Figure 4), likely secondary to swelling and immobility. Extended PoCUS showed a  hyperdynamic heart without effusion, LV dysfunction, or significant right heart strain. 

     Triple antibiotics, including clindamycin, piperacillin/tazobactam, and vancomycin, were commenced according to therapeutic guidelines4, followed by surgical and plastics consultation for urgent debridement5 in the operating theatre (OT) and post-op ICU admission. During transport to OT, he became hypotensive with septic shock and was managed with peripheral metaraminol with a good temporary response.

Operative and Post-ED Management

     Upon arrival to the theatre, he was intubated, and invasive access for monitoring and management, including arterial and central venous lines, was established. Initial debridement found a large collection of pus under the pectoral, with pustular tracts noted between the pectoral major and minor towards the axilla. The fascia was healthy. Further exploration later that night revealed pus collections in the acromioclavicular and sternoclavicular joints, requiring washouts. Tissue samples were sent for microscopy and culture. Triple antibiotic therapy continued, and he was transferred to the ICU at Casey Hospital.

     With a confirmed diagnosis of Necrotizing Fasciitis intraoperatively, he was transferred to the Alfred Hospital, a metropolitan tertiary centre, for hyperbaric oxygen therapy and ongoing care. At the Alfred Hospital, he underwent two further debridements. His antibiotics were changed to cefepime, benzylpenicillin, and clindamycin, aligned with intraoperative tissue sample antibiogram sensitivities. Nasogastric feeds commenced, and he weaned off vasopressor support. Bilateral pleural effusions secondary to sepsis were found, and intercostal catheters were placed after bronchoscopy.

     He was transferred back to Monash Health (Dandenong Hospital) for ongoing management under plastics surgery care. Due to ongoing fevers and concerns for an empyema, his antibiotic therapy was escalated to include ciprofloxacin, linezolid, metronidazole, and micafungin4. 

Surgical Timeline

D0: Initial debridement of the right upper limb/chest wall with biopsies concerning for Necrotizing Fasciitis.

D2: Secondary debridement of the right arm/axilla/chest wall.

D4: Third debridement with change of VAC dressing right upper limb and chest wall.

D7: Fourth debridement and VAC change right arm, axilla, and chest.

D14: VAC change and re-washout (assisted by Cardiothoracic Surgical team).

D16: VAC change right chest wall.

D21: Right axilla debridement and VAC change.

 Discussion

Diagnosis of Necrotizing Fasciitis

     Necrotizing Fasciitis is a rapidly progressive, life-threatening infection of the fascia and subcutaneous tissues that requires immediate medical and surgical intervention. Early diagnosis is crucial to prevent significant morbidity and mortality. Clinical diagnosis can be challenging due to its variable presentation and overlap with other less severe soft tissue infections. Typical symptoms include severe pain, swelling, erythema, and systemic signs of sepsis such as fever, tachycardia, and hypotension. However, these symptoms can be nonspecific and may lead to initial misdiagnosis, as seen in this case, where the patient was initially treated for a musculoskeletal injury6. Diagnostic imaging plays a pivotal role in the early detection and management of Necrotizing Fasciitis. Radiographic imaging such as X-rays may show soft tissue gas, while computed tomography (CT) and magnetic resonance imaging (MRI) can provide more detailed information regarding the extent of infection. However, these modalities can be time-consuming, and may delay critical treatment.

Utility of Point-of-Care Ultrasound (PoCUS) in Diagnosis

     Point-of-Care Ultrasound (PoCUS) has emerged as a valuable tool in the rapid diagnosis of Necrotizing Fasciitis, especially in the emergency department setting. PoCUS allows for bedside imaging, which can significantly reduce the time to diagnosis and subsequent treatment. In this case, PoCUS was instrumental in identifying the hallmark features of Necrotizing Fasciitis, including cobblestoning, subcutaneous air with dirty shadowing, and non-compressible veins suggesting thrombus formation7. These findings prompted immediate surgical consultation and expedited surgical intervention. The utility of PoCUS extends beyond diagnosis to include ongoing management and monitoring of disease progression. It provides real-time information about the extent of infection and can be used to guide fluid resuscitation, identify complications, such as abscess formation, and monitor the effectiveness of therapeutic interventions. Additionally, PoCUS can be used to evaluate cardiac function and detect hemodynamic instability, as was done in this case6.

 Antibiotic Stewardship

     The Australian Therapeutic Guidelines (ETG) is a leading source of independent, evidence based, practical treatment advice to assist practitioners with decision making at the point-of care. The content is regularly updated, based on the latest international literature, interpreted by Australia’s most respected experts, with input from an extensive network of general practitioners, pharmacists and other users. Thus, becoming the standard of practice in Australasia and most other countries like the United Kingdom and the United States of America. As per ETG, three antibiotics are required for empirical therapy for necrotizing skin Infections; Either meropenem or piperacillin/tazobactam, plus vancomycin, plus either clindamycin or lincomycin can be commenced4. This regime provides appropriate gram-positive and gram-negative aerobic cover, as well as coverage for anaerobes and MRSA.

 Decision for Limb Sparing Surgery

     In many instances there is a preference to preserve limbs whilst performing surgical intervention if possible. This coincides with the desire to avoid amputation in order to best return the patient to as close to return of function as possible8. Even though there is a deficit in published studies to support this claim, it was the preferred choice of the patient and the surgical team.

Role of Multi-Disciplinary Intervention

     The initial suspicion and subsequent diagnosis of Necrotizing Fasciitis was completed by the Emergency Department team. Prompt inclusion of the intensive care, surgical/plastics team was required for definitive and post operative supportive treatment9. Post operative care included allied health involvement (physiotherapy, hand therapy, occupational therapy and social work). A multi-disciplinary approach provided the best outcome for this patient, giving him the greatest chance for return to function.

 Conclusion

     This case highlights the critical importance of early diagnosis and multidisciplinary management in patients with Necrotizing Fasciitis. Point-of-Care Ultrasound (PoCUS) proved to be a rapid, effective diagnostic tool that facilitated prompt surgical intervention and appropriate medical management, ultimately improving patient outcomes10. Early recognition and aggressive treatment, including the use of PoCUS for rapid bedside assessment, are key to reducing the high morbidity and mortality associated with Necrotizing Fasciitis.

Patient Outcome

Following surgical interventions, antibiotic therapy, and rehabilitation, the patient has made significant gains in function and mobility. Almost two years post-initial presentation, he has not fully returned to baseline but continues to make progress (Figure 5).

References

1.      Stevens DL, Bryant AE, Goldstein EJ. Necrotizing soft tissue infections. Infect Dis Clin North Am. 2021;35(1):135–155. https://doi.org/10.1016/j.idc.2020.10.004

2.      Fernando SM, Tran A, Cheng W, Rochwerg B, Kyeremanteng K, Seely AJE, et al. Necrotizing Soft Tissue Infection: Diagnostic Accuracy of Physical Examination, Imaging, and LRINEC Score: A Systematic Review and Meta-Analysis. Ann Surg. 2019;269(1):58–65 https://doi.org/10.1097/SLA.0000000000002774

3.      Marks A, Patel D, Sundaram T, Johnson J, Gottlieb M. Ultrasound for the diagnosis of necrotizing fasciitis: a systematic review of the literature. Am J Emerg Med. 2023;65:31–35. https://doi.org/10.1016/j.ajem.2022.12.037

4.      Therapeutic Guidelines [Internet]. 2024 [cited 2024 Dec 9]. Therapeutic Guidelines | Independent, reliable, relevant and respected. Available from: https://www.tg.org.au/

5.      Wong CH, Yam AK, Tan AB, Song C. Approach to debridement in necrotizing fasciitis. Am J Surg. 2008;196(3):e19–e24. https://doi.org/10.1016/j.amjsurg.2007.08.076

6.      Goh T, Goh LG, Ang CH, Wong CH. Early diagnosis of necrotizing fasciitis. Br J Surg. 2014;101(1):e119–e125. https://doi.org/10.1002/bjs.9371

7.      Kohen B, Halperin M, Felix G, Dixon T, Montenegro M, Patel F. Sonographic crepitus, a point-of-care ultrasound finding. POCUS J. 2022;7(1):129–130 https://doi.org/10.24908/pocus.v7i1.15406

8.      Misiakos EP, Bagias G, Patapis P, Sotiropoulos D, Kanavidis P, Machairas A. Current concepts in the management of necrotizing fasciitis. Front Surg. 2014;1:36. https://doi.org/10.3389/fsurg.2014.00036

9.      Marchesi A, Marcelli S, Parodi PC, Perrotta RE, Riccio M, Vaienti L. Necrotizing fasciitis in aesthetic surgery: a review of the literature. Aesthetic Plast Surg. 2017;41(2):352–358. https://doi.org/10.1007/s00266-016-0754-2

10.  Raj S, Williams EM, Davis MJ, Abu-Ghname A, Luu BC, Buchanan EP. Cost-effectiveness of multidisciplinary care in plastic surgery: a systematic review. Ann Plast Surg. 2021;87(2):206–210. https://doi.org/10.1097/SAP.0000000000002931

Most read articles by the same author(s)

Latest articles

Searching for latest articles…

Indexing Information

Loading…

PoEM News

Loading news…

Partnership

Loading…

Journal Metrics

Loading…

Meet the Board

Support for Authors

1

Getting Started

Register with journal and receive Author role. Access dashboard to begin new submission.
?
2

Complete Submission

Select language, title, section • Enter abstract, keywords, references • Upload files • Add co-authors
?
3

Review & Submit

Add optional comments for editors and suggest reviewers. Review all information and confirm submission.
?

Submitted

Your submission is complete and under review

Published

Article successfully published
8

Copyediting

Review copyedited files and publication-ready versions. Provide feedback or approval through discussions.
?
7

Acceptance

Accepted manuscripts proceed to copyediting and production. Receive confirmation notifications.
?
6

Upload Revised

Upload revised files through Review tab with response to reviewers (if revisions required).
?
5

Peer Review

Receive editor's decision via email and dashboard.
?
4

Track Submission

Monitor submission status via Author Dashboard.
?

Support for Reviewers

1

Receive Invitation

Editors send invitation via email with manuscript details. Access via link or journal login.
?
2

Request Details

Click to access assignment details including article title, abstract, review files, and schedule.
?
3

Accept / Decline

Review submission details and privacy statement. Decide whether to accept or decline the assignment.
?
4

Read Guidelines

Review journal's specific reviewer guidelines. Guidelines remain accessible throughout the review process.
?
5

Review Manuscript

Download review files and conduct thorough review. Enter comments for editor and author.
?

Complete

Review successfully submitted
9

Submit Review

When satisfied with review and recommendation click Submit. Confirm submission to complete the process.
?
8

Communicate

Use Review Discussion panel to ask questions. Click Add discussion to start conversation.
?
7

Recommendation

Select recommendation from dropdown menu based on review: Accept, Revisions, Resubmit, or Decline.
?
6

Upload Files

Optionally upload marked-up copy of review file. Remember to anonymize if required by type.
?
PoEM Footer